Kompozit Dolgu

Kompozit Dolgu Nedir?

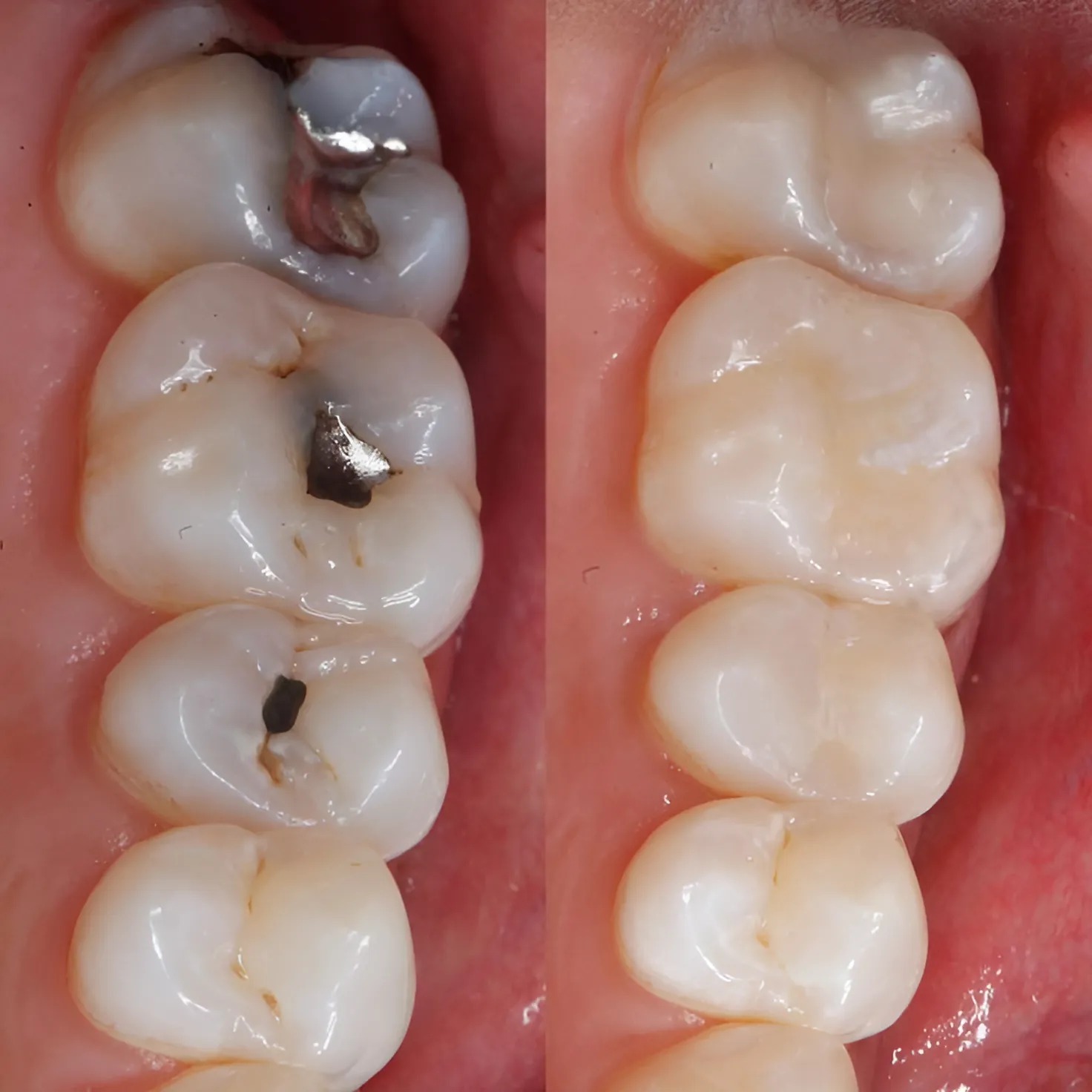
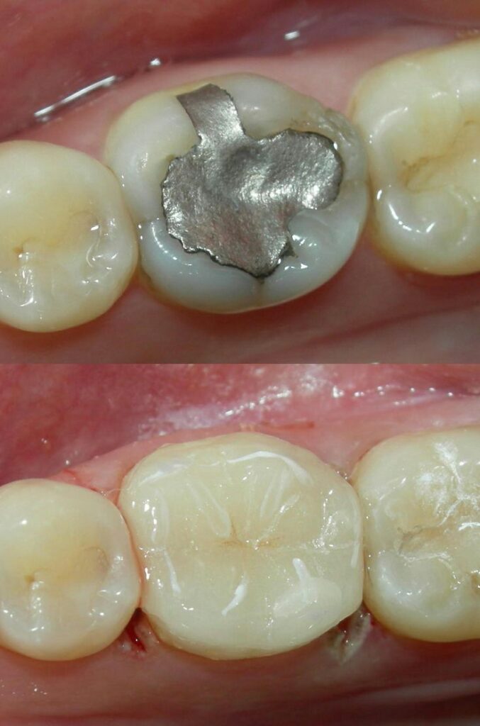
Kompozit dolgu, diş çürüklerinin veya diş yüzeyindeki kırıkların tedavisinde kullanılan, diş renginde bir dolgu malzemesidir. Estetik ve doğal görünümü sayesinde özellikle ön dişlerde tercih edilen bu dolgu türü, çürük temizlendikten sonra dişe uygulanarak ışıkla sertleştirilir ve dişin doğal yapısıyla uyumlu hale getirilir.

Kompozit Dolgu Hangi Durumlarda Kullanılır?

Kompozit dolgu, sadece çürüklerin tedavisinde değil, estetik ve fonksiyonel birçok durumda da uygulanabilir:

  1. Çürük Tedavisi: Çürük temizlendikten sonra boşluğu doldurmak için kullanılır.
  2. Diş Kırıkları: Küçük çaplı diş kırıklarının onarımında uygulanır.
  3. Diş Arası Boşluklar: Dişler arasındaki küçük boşlukların (diastema) kapatılmasında etkilidir.
  4. Estetik Dolgu: Renklenmiş veya şekil bozukluğu olan dişlerin görünümünü düzeltmek amacıyla kullanılır.
  5. Aşınmış Dişler: Diş sıkma ya da yanlış fırçalama sonucu aşınan dişlerin restorasyonunda tercih edilir.

Kompozit Dolgu Nasıl Yapılır?

  • Muayene ve Hazırlık:
    Diş hekimi, dişi muayene ederek çürüğün veya hasarın boyutunu değerlendirir. Gerekli durumlarda lokal anestezi uygulanarak işlem sırasında ağrı hissedilmesi önlenir.

  • Çürüğün Temizlenmesi:
    Çürük veya hasarlı diş dokusu temizlenir ve dolgu için uygun bir boşluk oluşturulur.

  • Kompozit Malzemenin Uygulanması:

    • Diş yüzeyi özel bir jel ile pürüzlendirilerek kompozitin tutunması sağlanır.
    • Kompozit malzeme katmanlar halinde dişe uygulanır.
    • Her katman, özel bir ışık cihazı kullanılarak sertleştirilir.
  • Şekillendirme ve Cilalama:
    Dolgu, dişin doğal anatomisine uygun şekilde şekillendirilir. Ardından cilalama işlemi yapılarak parlak ve pürüzsüz bir görünüm elde edilir.

Kompozit Dolgu Avantajları Nelerdir?

  • Estetik Görünüm: Diş renginde olduğu için doğal bir görünüm sağlar ve dışarıdan fark edilmez.
  • Hızlı ve Pratik Uygulama: Tek seansta tamamlanabilir ve anında kullanıma hazır hale gelir.
  • Diş Yapısına Uyumlu: Kompozit dolgu, dişe kimyasal olarak bağlandığı için sağlam bir yapı oluşturur.
  • Koruyucu Tedavi: Sağlam diş dokusu minimum düzeyde aşındırılarak uygulanır.
  • Tamir Edilebilir: Zamanla hasar gören veya aşınan dolgular, kolayca onarılabilir.

Kompozit Dolgu Ne Kadar Dayanıklıdır?

Kompozit dolgular, doğru uygulandığında ve ağız hijyenine dikkat edildiğinde 5 ila 10 yıl boyunca dayanıklılığını koruyabilir. Ancak dolgunun ömrü, bazı faktörlere bağlı olarak değişebilir:

      • Ağız Hijyeni: Düzenli diş fırçalama ve diş ipi kullanımı dolguların ömrünü uzatır.
      • Beslenme Alışkanlıkları: Sert gıdaları çiğnemekten kaçınmak dolguyu korur.
      • Diş Sıkma Alışkanlığı: Bruksizm (diş sıkma) dolguların aşınmasına ve kırılmasına neden olabilir.

Kompozit Dolgu ile Amalgam Dolgu Arasındaki Farklar

ÖzellikKompozit DolguAmalgam Dolgu
RenkDiş renginde, estetikMetalik gri
MalzemeReçine bazlı kompozit malzemeGümüş, cıva ve metal alaşımı
Uygulama SüresiDaha uzun, katmanlı uygulama gerektirirDaha kısa
DayanıklılıkOrta – YüksekÇok yüksek
Kullanım AlanıÖn ve arka dişlerdeDaha çok arka dişlerde tercih edilir
Çevre DostuÇevreye zararsızCıva içeriği nedeniyle tartışmalıdır

 

Kompozit Dolgu Sonrası Dikkat Edilmesi Gerekenler

  • İlk 24 Saat Renkli Gıdalardan Kaçının: Çay, kahve, sigara gibi renk verici maddeler dolgunun rengini etkileyebilir.
  • Sert Yiyeceklerden Kaçının: Sert cisimleri ısırmak dolgunun kırılmasına neden olabilir.
  • Ağız Hijyenine Özen Gösterin: Düzenli diş fırçalama ve diş ipi kullanımı dolguların ömrünü uzatır.
  • Düzenli Kontroller: Diş hekiminize 6 ayda bir giderek dolgularınızın durumunu kontrol ettirin.
  • Diş Sıkma Alışkanlıklarını Önleyin: Eğer diş sıkma problemi yaşıyorsanız, gece plağı kullanmanız gerekebilir.

Kompozit Dolgu Kimler İçin Uygundur?

  • Kompozit dolgu, hem çocuklar hem de yetişkinler için uygundur. Özellikle estetik kaygısı olan hastalar, diş renginde ve doğal görünümü nedeniyle bu dolguyu tercih etmektedir.

Sonuç

Kompozit dolgu, çürük veya estetik problemler için modern, doğal ve estetik bir çözümdür. Doğru bakım ve düzenli diş kontrolleri ile uzun yıllar boyunca sağlıklı bir şekilde kullanılabilir. Diş problemlerinizin tedavisinde en uygun çözüm için mutlaka uzman bir diş hekimine danışmalısınız.